Amalgamsanierung in Bielefeld
Alles wichtige zu Amalgamsanierung in unserer Zahnarztpraxis in Bielefeld. Die jüngst in den Medien veröffentlichten Ergebnisse der Studie der Uni Tübingen über rund 20.000 ausgewertete Speicheluntersuchungen bei Patienten mit Amalgamfüllungen haben selbst die Schulmediziner aufgeschreckt: Statistisch konnte nachgewiesen werden, dass Patienten mit Amalgamfüllungen deutlich häufiger unter chronischen Erkrankungen leiden, als die Kontrollgruppe ohne Amalgam im Mund. Die Forderungen nach einem generellen Amalgamverbot werden wieder laut. EU-weit wurde nun der Einsatz von Amalgam noch weiter eingeschränkt, in vielen Ländern gar verboten. Mit diesem Hintergrund stellt sich für viele Patienten die Frage nach den Möglichkeiten der Amalgamsanierung in Bielefeld.
Amalgam und hochgoldhaltige Legierung im Mund > galvanische Elemente;
Korrosion wird verstärkt
(siehe auch Unterseite Umweltzahnmedizin)
Noch 3 Monate nach Eingliederung ist die Konzentration um das 7fache erhöht. Umweltmediziner vermuten, dass das Immunsystem dadurch nachhaltig beeinflusst werden kann. Symptome wie Allergiebereitschaft, aber auch das „Müdigkeitssyndrom“ und das „MCS-Syndrom“ (erhöhte Chemikalienempfindlichkeit) werden damit in Verbindung gebracht. Ein ganzheitlicher Grundsatz dementsprechend:
Je weniger Metall im Mund, umso besser!!!
Hier einige Beispiele, auf welche Organe/ Organsysteme bestimmte Metalle einwirken und welche Folgewirkungen sie auslösen können:
Gold: Herz-Kreislauf, Psyche, Depressionen.
Silber: Urogenitaltrakt, Magen.
Platin: Endolainum (Drüsensystem).
Palladium: Bewegungsapparat, rheumatiforme Beschwerden, Psyche, hoch labile Stimmungslagen.
Gerade für das Metall Palladium, in den vergangenen Jahren Streit-Zündstoff zwischen Ärzten und Patienten wegen unkalkulierbarer Risiken bzw. bestrittener Gesundheitsbeeinträchtigungen, haben sich typische Beschwerdebilder bestätigt: rheumatische Leiden und solche neuralgischer Art.
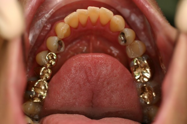
Amalgamfüllung im Mund
Die Amalgamsanierung hat die Entfernung der Füllungen und die Ausschwemmung der schädlichen Schwermetalldepots aus dem Körper zum Ziel. Das Grundproblem ist also eine toxische Belastung durch das Schwermetall Quecksilber, die mit anderen Belastungen summiert, die Toxinspeicher des Körpers überstrapazieren kann. Die „Mülltonne“ läuft über, es kann zu mannigfaltigen Symptomen kommen. Empfehlenswert ist zu Beginn einer Sanierung die Bestimmung der Schwermetallkonzentration im Körper z.B. durch einen standardisierten Urintest. Ein weiteres hervorragendes labormedizinisches Instrument ist der ELISA-Bluttest. Er wird in wenigen Labors in Deutschland angeboten und bestimmt die Immunreaktion der Abwehrzellen auf Fremdstoffe, z.B. Schwermetalle, aber auch Lebensmittel.
Dieser Test kann, wenn entsprechende Erfahrung vorhanden ist, von Ihrem Hausarzt durchgeführt werden. Ist der Test dort nicht möglich, nennen wir Ihnen gerne Ärzte, mit denen wir häufig zusammenarbeiten. Nach Auswertung der Ergebnisse kann es sinnvoll sein einen klassischen Allergietest (Epikutantest) durchzuführen. Die Bescheinigung einer Typ-IV-Allergie ist besonders wichtig bei der Frage der Kostenübernahme für die Sanierung durch gesetzliche Krankenversicherungen. Bei positiver Bescheinigung erstatten die Krankenkassen einen höheren Zuschuss zur Füllungstherapie. Die diagnostische Aussage ist völlig unerheblich und unsicher im Vergleich zu o.g. Methoden.
Die Erfahrung zeigt, dass in letzter Zeit immer mehr toxisch belastete Patienten auch eine Allergie gegen Amalgambestandteile aufweisen.
…raue, korrodierte Oberflächen
Schon diese Untersuchungen erlauben die Beurteilung der Belastungsschwere. Liegen chronische Erkrankungen und Beschwerden vor, stellt sich häufig die Frage nach den weiteren Diagnosemöglichkeiten. Worauf wirkt sich die Schwermetallbelastung im Körper aus, gibt es andere Störfaktoren wie z.B. sog. Störfelder (stumme chron. Entzündungen, Narben, tote Zähne mit überlokaler Wirkung, Fremdkörper etc.), wo liegen Energieblockaden vor, etc. Zur Klärung dieser Fragen muss man die Schulmedizin verlassen und Diagnoseverfahren der Naturheilkunde zu Rate ziehen, wie z.B. Kinesiologie (Diagnose über speziellen Muskeltest), Aurikulomedizin (Diagnostik über Prinzipien der Ohrakupunktur), Elektroakupunktur (Messung des „Energieniveaus“ über Akupunkturpunkte), um nur einige zu nennen. Diese Verfahren werden im „Ratgeber Naturheilkunde“ erklärt. In unserer Praxis wird hauptsächlich mit der Aurikulomedizin, Kinesiologie und der Elektroakupunktur gearbeitet. In der Regel ergibt sich nach solchen Untersuchungen in Zusammenarbeit mit den behandelnden Ärzten ein Behandlungskonzept, in das die Amalgamsanierung bei uns in Bielefeld eingebunden ist.
Der Ablauf einer Amalgamsanierung in Bielefeld:
1. Schrittweise, schonende Entfernung der Füllungen/Zahnersatzlegierungen
Amalgamfüllungen werden nicht wie üblich mit der hochtourigen Turbine (300.000 U/min) entfernt, da selbst mit Wasserkühlung das Quecksilber durch Hitze an der Bohrerspitze verdampft. Diese Dämpfe bilden die eigentliche Gefahr, da sie von der Schleimhaut resorbiert werden. Verschluckte Partikel werden ausgeschieden – Dämpfe nicht.
Alternativ zur Turbine nimmt man niedertourige, zerspanende Instrumente und zerteilt die Füllung, so dass einzelne große Partikel entfernt werden.
Zur weiteren Reduzierung der Schleifstaub- und Quecksilberdampf-Belastung wird mit einem besonderen Sauger, der nicht nur wie üblich von der Seite funktioniert, sondern den ganzen Zahn umfasst, gearbeitet. Zusätzlich wird auch häufig der Kofferdam (Gummituch, das über die Zähne gestülpt wird, Partikel gelangen so kaum in die Mundhöhle) angelegt. Die Atemluft des Patienten kann durch einen Nasen-Atemschutz / Goldfilter (s.u. Artikel) von aus der Mundhöhle austretenden Quecksilberdämpfen befreit werden. Bei chronisch kranken Patienten kann die Gabe von Sauerstoff während der Behandlung erfolgen.
Die Entfernung von unverträglichen Legierungen erfolgt unter ähnlichen Bedingungen.
Anschließend erfolgt eine Füllung mit einem Spezialzement als Provisorium, bei entferntem Zahnersatz in der Regel die Versorgung mit laborgefertigten metallfreien Langzeitprovisorien.
Spezialsauger zum
Entfernen von Amalgam
Gold-Nasenmaske zur Filterung der Atemluft bei der Amalgamsanierung
Die provisorische Füllung verfolgt zwei Zwecke. Zum einen ist der Zement in der Lage, die Zahnsubstanz zusätzlich von innen zu entgiften. Das Zahndentin ist von vielen kleinen Kanälchen durchzogen, in die Zersetzungsprodukte des Amalgams gelangen können. Der Zement zieht diese Reste aus den Kanälchen, was man häufig an der Schwarzfärbung an der Unterseite des Zementes bei der Entfernung erkennt. Bei schwer belasteten Patienten kann eine mehrfache Zementfüllung notwendig werden, um eine komplette Entgiftung zu erreichen. Die Erfahrung zeigt, dass viele wohlgemeinte Amalgamsanierungen, bei denen sofort nach Entfernung die neue endgültige Versorgung eingesetzt wurde, deshalb nicht den erwarteten Erfolg haben. In der Literatur sind viele Fälle beschrieben, bei denen die neue, hochwertige Versorgung wieder entfernt werden musste, um die Zahnsubstanz zu entgiften. Am Ende der Sanierungssitzung erfolgt die Gabe von Algentabletten, um evtl. noch minimal vorhandene Reste auf der Schleimhaut zu binden und zur Ausscheidung zu bringen.
Algenpräparate zur Schwermetallbindung bei der Amalgamsanierung
Die provisorische Füllung bzw. die Laborprovisorien überbrücken auch den Zeitraum bis zur endgültigen Versorgung, die erst nach Abschluss der entsprechenden Begleitbehandlungen (Aktivierung des Lymphsystems, Ausleitung der Schwermetalle …) durchgeführt wird.
2. Definitive Versorgung:
Grundsätzlich unterscheidet man laborgefertigte Versorgungen von direkt in der Behandlungssitzung angefertigten Restaurationen. Hier ist die Dentinadhäsivrestauration mittels Kompositen und Kompomeren zu nennen, die wir jedoch nur bei kleinen, wenig kaubelasteten Defekten empfehlen.
Bei den Kompositen kommt folgende Problematik zum Tragen: Unter Kaudruck kommt es zur Reststoffauslösung mit möglichen unbekannten, noch nicht untersuchten Dauerwirkungsfolgen der minimalen Konzentrationen der als toxisch eingestuften Bestandteile. Die herausgelöste Substanz hat eine chemische Ähnlichkeit mit bestimmten Hormonen. So konnten wir in der Praxis schon Fälle registrieren, bei denen es zur Irritation des Hormonhaushaltes gekommen war. Insgesamt ist festzustellen, dass mit zunehmendem Einsatz der Komposite als Amalgam-Alternative die Zahl der Patienten, die auf diese Materialgruppe mit Unverträglichkeit reagieren deutlich zugenommen hat. Kunststoffsanierungen unter den gleichen Bedingungen wie Amalgamsanierungen sind deshalb keine Seltenheit geworden. Zusätzlich ist noch die mangelnde Stabilität bei größeren Defekten zu nennen, selbst die modernen Materialien können nicht mit den laborgefertigten Alternativen mithalten.
Bei den hochwertigen laborgefertigten Lösungen, den sog. Inlays, die nach Abdruck oder intraoralem Scan hergestellt werden, werden bei uns im Labor hauptsächlich folgende Materialien verwendet: Hochgoldhaltige Legierungen, Spezialglas, Keramik.
Keramikinlay als Alternative
bei großen Defekten
Keramikinlay als Alternative
bei großen Defekten
Kompositfüllung bei
kleineren Defekten
Ergebnisse einer Studie zu Quecksilber:
Noch toxischer als Blei.
Quecksilber hemmt neuronales Wachstum stärker als andere Schwermetalle, zum Beispiel Blei ‑ dies wurde in einer Untersuchung unter der Leitung von Prof. Dr. E. Lorscheider, University of CaIgary, festgestellt. Diese Wirkung tritt bei Konzentrationen auf, die im menschlichen Körper vielfach nachgewiesen wurden. Bereits zehn Minuten nach der Applikation von zwei Millilitern 10-7 M HgCl 2 wurde das Zellwachstum inhibiert.
Die vollständigen Ergebnisse wurden in der Märzausgabe der Zeitschrift NeuroReport publiziert. Im Internet kann man auf der Website www.comrnons.ucalgary.ca/mercury eine etwa zehnminütige Videosequenz abrufen, die die Wirkung von Quecksilber eindeutig dokumentiert. Kopien dieser Studie sind bei F.0.S. Filtertechnik, Ahlen, erhältlich.
In einer ebenfalls von Prof. Lorscheider durchgeführten Studie bezüglich der Wirksamkeit einer Quecksilberschutze (Funktionsweise: Abscheidung der Quecksilberdämpfe an einer Goldschicht), konnte eine mehr als 90‑prozentige Abscheideleistung unter Praxisbedingungen nachgewiesen werden. Da eingeatmete Quecksilberdämpfe zu etwa 80 Prozent im Körper resorbiert werden, empfiehlt die Studie das Tragen einer entsprechenden Maske.
