Veneers Bielefeld

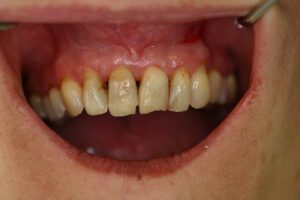
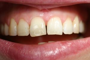
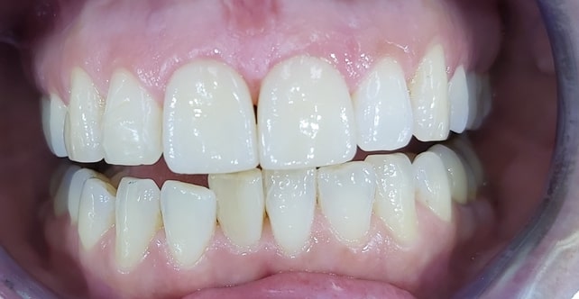
Abgebrochener unterer Schneidezahn…

…mit Veneers rekonstruiert

Sind ästhetisch nicht befriedigende Restaurationen das Problem, kann ein Austausch erfolgen. Hier können schon neue Kunststoff-Füllungen im Frontzahnbereich (Komposite der neuesten Generation) einen großen Unterschied ausmachen. Auch kleinere Stellungsanomalien können so ausgeglichen werden.

Falls die Füllungen zu groß geworden oder alte Kronen zu ersetzen sind, sind Vollkeramikkronen im Frontbereich das Mittel der Wahl. Schon der Kern dieser Kronen weist die richtige Zahnfarbe auf, kein dunkler Metallrand kann sichtbar werden. Die farbgebende Schicht ist viel stärker als bei Verblendkronen mit Metallgerüst, ein viel natürlicherer Farbeffekt kann erzielt werden.

Zum Vergleich:

Die Vollkeramikkronen

Die Metallkeramikkronen

Vollkeramikkronen
auf dem Modell

Kronen mit Metallgerüst
auf dem Modell

Auch die Gestaltung des Zahnfleischverlaufes („rote Ästhetik“) kann eine große Rolle spielen. Diese Faktoren gilt es bei der Planung des Gesamteindruckes zu berücksichtigen.

Zahnstellungskorrekturen können auch durch Kieferorthopädie bei Erwachsenen korrigiert werden.

Bracketts aus Keramik, beschichtete Metallbögen trüben nicht mehr das Erscheinungsbild während der Behandlung. Auch das Befestigen auf der Zahninnenseite (Lingualtechnik) ist möglich. Sind die Korrekturen nicht sonderlich umfangreich, kann auch mit unsichtbaren Schienen (Invisalign-System) gearbeitet werden. Alle diese Techniken schonen die Zahnsubstanz – nehmen aber einen viel längeren Behandlungszeitraum und entsprechende Geduld in Anspruch. In der Kieferorthopädie arbeiten wir bei komplexen Fällen mit Partnerpraxen zusammen (s. Kooperationspartner).

Keramik- und Metallbrackets

„Aligner“ zur Zahnstellungs-
korrektur

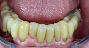
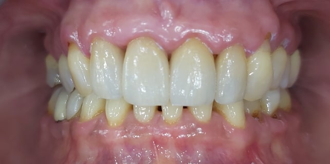
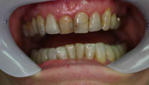
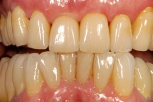
Patientenfälle – gelöst mit Vollkeramik

Minimalinvasive Vollkeramikkronen

Vollkeramikkronen, bereits 12 Jahre im Mund

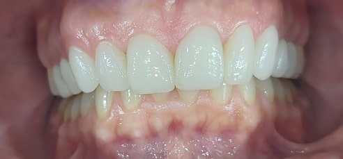
Veneer-Versorgung/Zahnstellungskorrektur reicht

Vollkeramikkronen

… gelöst mit Veneers

Spezialisierte Behandlerin

Zahnärztin Britta Eickhoff

Nach oben scrollen