Praxisinternes Dentallabor
Laborleiter Willi Enns konstruiert Zahnersatz am PC
Durch das zahntechnische Fachwissen von Dr. Andreas Quast ist eine optimale Zusammenarbeit zwischen Labor und Behandlern gewährleistet – gemeinsam werden Lösungen auch für schwierige Patientenfälle gefunden. Die Zahntechnik wurde in den letzten Jahren durch die CAD/CAM- Technik bereichert. High-End-Digitaltechnik unterstützt das Handwerk und erweitert das Spektrum – gerade im Bereich der metallfreien Versorgungen z. B. der sogenannten Vollkeramikrestaurationen. Die Praxis und das Labor sind für die Zahntechnik vollständig digital ausgestattet:
- Intraoraler Scanner für „Abdrucknahme“ im Mund des Patienten
- Farbbestimmung und ästhetische Diagnostik
- Digitale Fotografie
- CAD/CAM-System mit Keramikfräsmaschine für die Zikoniumverarbeitung
- 3D-Drucker
CAD/CAM-System: Fräsanlage für Keramik
Metallfreier herausnehmbarer Zahnersatz – dank PEEK
Aufgrund der Erkenntnisse der Umweltzahnmedizin/Umweltzahntechnik, einer unserer Praxis-Schwerpunkte, versuchen wir soweit möglich metallfreie Zahnersatzlösungen anzubieten. In den letzten Jahren hat es erfreuliche Materialentwicklungen gegeben, die es jetzt sogar erlauben, herausnehmbaren Zahnersatz komplett metallfrei herzustellen. Der wichtigste neue Werkstoff ist „PEEK“ (Polyetheretherketon), ein Hochleistungskunststoff, der extrem gut verträglich ist. An der Universität Berlin werden z.Zt. sogar Implantate aus PEEK entwickelt. Wir benutzen den Werkstoff als Basis für Prothesen und Schienen aller Art.
Demo-Arbeit, zur Hälfte PEEK, andere Hälfte Stahllegierung
Keramik-Teleskope PEEK-Gerüst; herausnehmbare Prothese
Keramik-Teleskope PEEK-Gerüst; herausnehmbare Prothese
Keramik-Teleskope PEEK-Gerüst; herausnehmbare Prothese
Keramik-Teleskope PEEK-Gerüst; herausnehmbare Prothese
Weitere Patientenfälle mit PEEK finden Sie hier.
Die Präzision der Werkstücke bewegt sich dank dieser Technik im Mikrometer-Bereich.
Aber keine Maschine ist so gut wie unsere Techniker! Nur durch die künstlerische Hand, langjährige Erfahrung (besonders mit den Vollkeramik-Systemen) und das „Auge“ für den Patienten entstehen Zahnersatzlösungen, die ästhetisch höchsten Ansprüchen genügen und „unsichtbar“ im Mund integriert werden können.
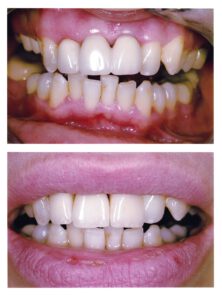
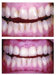
Zwei Patientenfälle, Vollkeramik-Versorgung mehr als 15 Jahre unverändert im Mund:
Weitere Patientenfälle sind unter „Ästhetische Zahnmedizin“ zu finden.
Unsere Techniker sind darüber hinaus speziell in den Bereichen CAD/CAM Systeme und Implantattechnik fortgebildet.
Wir setzen auf „hausgemachten“, vom Team Zahnarzt/Zahntechniker konstruierten und kontrollierten Zahnersatz unter Verwendung der hochwertigsten Materialien der renommiertesten Firmen.
Diese Materialien werden streng nach Herstellerangaben und im Sinne der Umweltzahntechnik verarbeitet. Es entsteht ein hochwertiges End-Produkt, für das wir mit unserem guten Namen stehen.
6 Jahre Gewährleistung, statt der üblichen 2 Jahre
Da jeder wichtige Zwischenschritt bei der Herstellung nicht nur von den Labortechnikern sondern auch von Dr. Quast persönlich überprüft wird, ist es so bei fast allen unseren Zahnersatzarbeiten möglich, eine 6-Jahres-Garantie statt der gesetzlich vorgegebenen 2-Jahre Gewährleistung zu geben. Zu Ihrem Vorteil und Ihrer Sicherheit!
Zu jedem von uns gefertigten Zahnersatz erhalten Sie neben der erklärten Garantie auch eine genaue Angabe über die bei Ihnen verwendeten Materialien.
Diese Auflistung ist vollständig und beinhaltet sowohl die für die Vorbereitung der Zähne verwendeten Praxis- (Wurzelfüll-, Aufbaumaterialien) als auch die zahntechnischen Materialien.
Üblicherweise wird hier nur über das verwendete Metall Auskunft gegeben. In unserem Materialpass sind alle (auch die Hilfsmaterialien wie Kleber; Verblendmaterialien; Kunststoffe; Keramiken usw.) verwendeten Werkstoffe aufgeführt. Auf Anfrage erhalten Sie selbstverständlich von jedem Material das Sicherheitsdatenblatt, das u.a. die genaue Zusammensetzung eines Werkstoffes beinhaltet.
Jederzeit kann auf dieses Dokument zurückgegriffen werden, beispielsweise um Kombinationsmöglichkeiten mit anderen Materialien, zukünftigem Zahnersatz abzuklären.
So machen wir Ihren Zahnersatz „transparent“!
Selbstverständlich können alle Materialien als Proben auf Verträglichkeit getestet werden.
Auch können Proben für externe Testungen zur Verfügung gestellt werden.
Unser praxiseigenes Dentallabor in Bielefeld ist durch die Deutsche Gesellschaft für Umweltzahnmedizin in der „Umweltzahntechnik“ zertifiziert worden!
