Parodontologie in Bielefeld
Muskel- und Gelenkschmerzen – häufig verursacht durch „silent inflammations“, wie z.B. Parodontitis
Patienteninformationen zur Parodontologie Behandlung in unserer Zahnarztpraxis in Bielefeld.
Ganzheitlich betrachtet stellt auch die Parodontitis, Volkskrankheit Nr. 1, häufig nicht nur ein isoliertes Problem des Zahnhalteapparates dar.
In ca. 75% der fortgeschrittenen Parodontitisfälle spielen andere körperliche Einflüsse eine wichtige Rolle. Die Parodontitis ist eigentlich nur ein Symptom eines gestörten Immunsystems.
Erfreulicherweise sind als Ursachen für chronische Erkrankungen in den letzten Jahren die „silent inflammations“ – symptomfreie Entzündungen (wie z. B. die Parodontitis) – auch in den Fokus der Schulmedizin gerückt. Diese Entzündungsherde können chronische Erkrankungen wie Diabetes, rheumatische Erkrankungen, Herz-Kreislauferkrankungen, Unfruchtbarkeit und vieles mehr verursachen. Die Negativbeeinflussung kann wechselseitig sein.
Bleiben diese Zusammenhänge unberücksichtigt, kann man mit den lokalen Maßnahmen im Mund nur einen Teilerfolg erlangen. Außerdem ist das Risiko des Wiederaufflackerns der Zahnfleischentzündungen wesentlich größer. Die allgemeinmedizinischen Probleme sind so häufig Erklärung für Knochenabbau und Zahnverlust trotz Parodontitis-Behandlung und entsprechend guter Nachsorge und Mundhygiene.
Diese Zusammenhänge und die Therapiemöglichkeiten werden von einem der renommiertesten Spezialisten im Bereich „Orthomolekulare Medizin“, dem Arzt H.P. Volkmann, auf seiner eigens für das Thema „Parodontitis“ eingerichteten Website www.itis-protect.de hervorragend erläutert.
Eine groß angelegte Studie konnte die Wirksamkeit seiner Therapie bestätigen. Wir empfehlen diese orthomolekulare Behandlung im Zusammenspiel mit der Parodontitis-Therapie ausdrücklich.
Einen guten Überblick über die Therapie von H.P. Volkmann und viele gute Tipps zur gesunden Lebensführung finden Sie in seinem Buch „Darm gesund – Mensch gesund“. Absolut lesenswert!
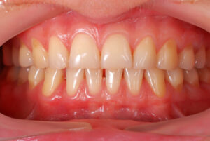
Massive Zahnfleischentzündungen
– auch Ausdruck eines gestörten Immunsystems
– Belastung für den gesamten Organismus
Welche Faktoren spielen eine besonders große Rolle?
1. Einflüsse des Verdauungstraktes
Wenn hier Störungen vorliegen (falsche Bakterienzusammensetzung im Darm, schlechte Verwertung von Nährstoffen), wird auch die Bakterienflora im Mund anhaltend geschädigt. Keime, die Parodontose verursachen können, überwuchern, das Gleichgewicht im Mund kippt.
2. Säure -Basen-Haushalt
Eiweißlastige Essgewohnheiten und andere Faktoren können eine Übersäuerung des Körpermilieus Verursachen, die den Knochenabbau bei Parodontose massiv beschleunigen kann.
3. Nahrungsmittelunverträglichkeiten
4. Knochenstoffwechselstörungen
(Mineralien- u. Vitaminmangel, Osteoporose)
5. Medikamente / schwerwiegende Erkrankungen
Natürlich können schwerwiegende Erkrankungen und medikamentöse Behandlungen, die das ganze Immunsystem beeinflussen, auch das Voranschreiten von Zahnfleischentzündungen begünstigen.
6. Einflüsse der Psyche
7. Toxische Belastungen
Woher weiß man nun, ob solche Faktoren bei einem Patienten die Parodontitis beeinflussen?
Die normalen zahnärztlichen Befunde geben darüber keinerlei Auskunft. Die bioenergetischen Testverfahren der Naturheilkunde können hier jedoch weiterhelfen. Mehr dazu finden Sie auf der Behandlungsseite „Naturheilkunde„. Mittels Elektroakupunktur (Testmethode basierend auf Akupunkturlehre), Kinesiologie (Muskeltest) oder anderen Verfahren können solche Zusammenhänge von uns aufgedeckt und evtl. notwendige weitere Diagnostik (Stuhlprobe, Unverträglichkeitstests) bzw. begleitende Behandlungen (Darmsanierung, Vitamin- u. Mineralstoffergänzung) bei einem naturheilkundlich versierten Arzt/Heilpraktiker in die Wege geleitet werden.
Unbehandelte massive Zahnfleischentzündung
– lokale Faktoren Zahnbeläge/Zahnstein
Wie läuft eine Parodontitisbehandlung ab?
Ist aufgrund der Befundung und Diagnostik (Taschentiefenmessung, Entzündungsindizes, IMOD-Speicheltest) eine Parodontitis-Therapie notwendig, erfolgt eine Intensivbehandlung in mehreren Sitzungen, die sich über 2-3 Monate erstreckt.
Zuerst erfolgen Vorbehandlungssitzungen und Diagnostik (professionelle Zahnreinigung, Mundhygieneinstruktion, Befundung Taschentiefen, Entzündungsstatus incl. IMOD-Speicheltest zur Messung der Knochenabbauaktivität in den Zahnfleischtaschen) in unserer Prophylaxeabteilung. Darüber hinaus sind ganzheitliche Testungen mittels Elektroakupunktur/Kinesiologie im Rahmen der Diagnostik möglich, die allgemeine Risiken wie Störungen des Säure/Basen-Haushaltes, des Darmmilieus, Lebensmittelunverträglichkeiten, Mineralstoffwechsel u.a. überprüfen.
So erhobene Befunde können in die Therapie einfließen, häufig ist dabei Teamwork (Hausarzt, Heilpraktiker) gefragt. Anschließend erfolgt die eigentliche „Zahnfleischbehandlung“: Hierbei wird unter örtlicher Betäubung von Ihrem/r zahnärztlichen Behandler/in eine intensive Säuberung der Wurzeloberflächen in der Regel mit schonenden Mini-Ultraschallinstrumenten in den Zahnfleischtaschen durchgeführt (nicht-chirurgisches Vorgehen). In der Regel sind dazu 2 Sitzungen notwendig und dabei wird auch Entzündungsgewebe aus den Taschen entfernt.
Diese Maßnahme unterstützen wir sinnvoll durch folgende Zusatz-Behandlung:
- Softlaserbehandlung zur beschleunigten Regeneration des Zahnfleisches
- Ozon-Therapie zur Desinfektion der Zahnfleischtaschen
- Applikation von Sauerstoffgel in die Taschen zur Regeneration und Desinfektion
Diese 3 Schritte werden kombiniert angewendet. Im Rahmen der Parodontologie Behandlung in unserer Zahnarztpraxis in Bielefeld.
Wenn die Krone und die Wurzel gereinigt sind, verschwindet die Entzündung, das Zahnfleisch strafft sich und legt sich wieder an der Wurzeloberfläche an. Die Rötung und Schwellung gehen zurück und sogar lockere Zähne können durch die Straffung des Gewebes wieder fester werden. Der komplette Behandlungszyklus kann durch die oben erwähnten ganzheitlichen Therapien, z.B. Einnahme bestimmter Nahrungsergänzungsmittel, hervorragend unterstützt werden.
Nach 6 Wochen erfolgt die Kontrolle mit Überprüfung der Taschentiefen und des Entzündungszustandes. Ein erneuter IMOD-Speicheltest erfolgt ca 1 Jahr später.
Verbleiben sehr tiefe aktive Resttaschen, kann nun ein chirurgisches Vorgehen zur Behandlung sinnvoll sein, evtl. verknüpft mit Knochenregenerationtechniken. Die Regeneration von verlorengegangenem Knochen kann nur durch Spezialverfahren in Gang gesetzt werden, das Fundament lockerer Zähne wird wieder gestärkt , z.B. durch das EMDOGAIN-Verfahren. Emdogain ist ein Produkt, das den durch Paradontitis zerstörten Zahnhalteapparat auf biologische Weise in gewissen Grenzen regenerieren kann. Der Einsatz ist an bestimmte Voraussetzungen der Form der Zahnfleischtasche gebunden.
Kraterförmige Defekte können sich wieder aufbauen – aber nicht zum Ausgangsniveau. Das Wirkungsprinzip von Emdogain ist, den ortsständigen Zahnhalteapparat wieder zum Wachstums anzuregen – durch Knochenwachstumsfaktoren, die vom Schwein gewonnen werden. Die natürliche Zahnverankerung besteht aus dem sogenannten „Zahnzement“, von dem winzige Fasern ausstrahlen und so den Zahn im Kieferknochen halten. Emdogain wird durch einen chirurgischen Eingriff auf die Wurzeloberfläche aufgebracht und führt zur Wiederherstellung von Zahnzement, Fasern und Kieferknochen. Zähne, die schlechte Prognosen aufweisen, können so stabilisiert werden.
Häufige Fragen und Antworten zum Thema Parodontitis
Was ist Parodontitis?
Parodontitis, auch Parodontose genannt, ist eine Entzündung des Zahnfleisches und des Teils des Kieferknochens, in dem die Zähne verankert sind.
Wie sind die Zähne im Kiefer befestigt?
Jeder Zahn besteht aus einer Krone, die im Mund sichtbar ist, und aus einer oder mehreren Wurzeln, die im Kieferknochen eingebettet sind. Die Wurzel ist über sehr viel kleine Fasern (die Wurzelhaut) im Kieferknochen verankert. Der Kieferknochen ist von straffem Zahnfleisch umgeben, das mit dem Zahn verklebt ist.
Wie sieht gesundes Zahnfleisch aus?
Gesundes Zahnfleisch ist fest und blaßrosa. Der Zahnfleischrand läuft dünn aus und liegt dem Zahn eng an. Gesundes Zahnfleisch blutet nicht beim Zähneputzen.
Was sind die Anzeichen für Parodontitis?
Weil eine Parodontitis meist schmerzlos verläuft, wird den Anzeichen oft erst dann Beachtung geschenkt, wenn die Erkrankung schon weit fortgeschritten ist. Dabei fallen in der Regel einige der folgenden Anzeichen auf:
- rotes geschwollenes Zahnfleisch
- blutendes Zahnfleisch
- schlechter Geschmack
- Mundgeruch
- Zahnfleischrückgang
- sich lockernde Zähne
- Zahnwanderungen
Das klassische Anzeichen von Zahnfleischentzündung – rotes geschwollenes Zahnfleisch, das beim Zähneputzen blutet – ist oft das erste Anzeichen einer Parodontalerkrankung. Zahnfleischschwund und gelockerte Zähne kommen in einem späteren Stadium der Parodontitis dazu, wenn übermäßiges Plaquewachstum, die Ursache der Parodontalerkrankung, nicht verhindert wird.
Kommen solche Erkrankungen häufig vor?
Ja, sogar häufiger als Karies. Beinahe jeder Erwachsene ist davon betroffen, und eine große Anzahl von Zähnen geht aufgrund von Parodontitis verloren.
Wie beginnt Parodontitis?
Wenn Plaque über längere Zeit nicht richtig entfernt wird, produzieren Plaquebakterien giftige Substanzen, die das Zahnfleisch entzünden. Dieses frühe Stadium der Erkrankung nennt man Gingivitis (Zahnfleischentzündung). Ein Problem, dass viele Personen haben, die beruflich und privat unter Stress stehen und nicht in Ruhe nach jeder Mahlzeit ausreichend lange putzen. 22 Sekunden beträgt die übliche Putzzeit.
Wie sieht entzündetes Zahnfleisch aus?
Entzündetes Zahnfleisch ist rot, geschwollen und blutet beim Zähneputzen. Ferner sind oft Ansammlungen von Plaque an den Stellen der Zähne sichtbar, die sich unmittelbar neben der Entzündung befinden.
Wie schreitet die Zahnfleischentzündung unbehandelt fort?
Wenn der Zahnbelag auf der Zahnoberfläche auch in den Bereich zwischen Zahn und Zahnfleisch vordringt, können sich auch tiefere Schichten des Zahnhalteapparates entzünden, es entstehen Zahnfleischtaschen und schließlich wird der Kieferknochen angegriffen und zerstört. Sobald die Entzündung den Kieferknochen erreicht hat, spricht man von der Parodontitis.
In dem Maße wie mehr und mehr des Knochens zerstört wird, fängt der Zahn an sich zu lockern, und mit tieferwerdenden Zahnfleischtaschen bilden sich auch Abszesse (Eiterherde). Manchmal geht das Zahnfleisch in dem Maße, wie der darunterliegende Knochen zerstört wird, zurück, und die darunterliegenden Wurzeln werden im Mund sichtbar. Es kann sogar sein, dass die Krankheit ein fortgeschrittenes Stadium erreicht, ohne Schmerzen zu verursachen. Das Ausmaß der Knochenzerstörung kann man auf einem Röntgenbild erkennen.
Die Grafik zeigt die verschiedenen Stadien der Zahnfleischentzündung
1. gesunde Verhältnisse
2. „Gingivitis“, entzündliche Reaktion des Zahnfleischs auf Zahnbelag
3. Die Zahnfleischtasche öffnet und vertieft sich, Beläge dringen in die Tasche ein
4. Bindegewebe- und Knochenabbau als Folge der chronischen Entzündung in der Tasche > „Parodontitis“
Werden alle Zähne im Mund im gleichen Maße befallen?
Nein. Zähne, die immer vollständig sauber gehalten werden, erkranken nicht. Wenn eine Erkrankung auftritt, ist sie im hinteren Bereich des Mundes und in den Zahnzwischenräumen schwerer, da diese Stellen schwieriger sauber zu halten sind.
Ist eine mangelhafte Plaqueentfernung der einzige Grund für eine Parodontitis?
Ja und Nein. Einige Menschen haben eine sehr starke angeborene Widerstandskraft und erkranken auch dann kaum, wenn Ihre Mundhygiene ungenügend ist. Andere Menschen haben eine sehr geringe Resistenz, obwohl sie sonst gesund sind und eine beinahe vollkommene Mundpflege betreiben. Die meisten Menschen liegen irgendwo dazwischen. Auch allgemeine Faktoren können sich auf das Zahnfleisch auswirken! (s. Oben)
Ich habe meine Zähne schon immer zweimal täglich geputzt. Warum sollte ich also erkranken?
Vielleicht übersehen Sie dieselbe Stelle im Mund bei jedem Zähneputzen oder benutzen nicht das richtige Hilfsmittel für die Zahnzwischenräume. Und genau diese Stelle wird wahrscheinlich erkranken. Den meisten Menschen ist meist gar nicht klar, wie schwierig es ist, die Plaque am Zahnfleischrand zu entfernen.
Vielleicht müssen Sie etwas mehr Zeit aufwenden und Ihre Zahnputztechnik verbessern. Selbst wenn Sie Zahnputzexperte sind, können die Zahnbürstenborsten die Zahnzwischenräume nicht immer vollständig reinigen, und das ist dann die Stelle, an der die Erkrankung meist beginnt. Außerdem ist an dieser Stelle nochmal auf die o.g. Ganzheitlichen Bezüge hinzuweisen. Ursachen können auch auf einer ganz anderen Ebene liegen.
Ja, aber die Art der Behandlung hängt davon ab, wie weit die Entzündung schon fortgeschritten ist. Eine Gingivitis lässt sich relativ einfach behandeln.
Unser Praxisteam wird sicherstellen, dass Ihre Zähne frei von Zahnstein sind und dass Sie wissen, wie Sie Ihre Zähne richtig reinigen müssen. Tägliche gründliche Zahnreinigung sorgt dann dafür, dass das Zahnfleisch wieder blassrosa, fest und gesund wird.
Kann auch eine Parodontitis erfolgreich behandelt werden?
Ja, wenn sie nicht schon zu weit vorangeschritten ist, ist es möglich, den Abbauprozess und die Entzündung zu stoppen. Die oben erklärten ganzheitlichen Zusammenhänge und entsprechende Therapie sollten möglichst in die Behandlung einfließen. So kann das noch vorhandene Fundament bewahrt werden. Deshalb sollte eine Behandlung so schnell wie möglich begonnen werden. Unsere auf Parodontologie spezialisierte Zahnärztin in unserer Zahnarztpraxis in Bielefeld kann Ihnen weiterhelfen.
