Wurzelbehandlung in Bielefeld
Hier erfahren Sie wesentliche Fachinformationen über die Wurzelbehandlung in unserer Zahnarztpraxis in Bielefeld. Wie auch in unserem „Ratgeber Ganzheitliche Zahnmedizin“ ausführlicher erläutert, ist eine Wurzelbehandlung, die alle erreichbaren Gewebereste aus den Kanälen entfernt und das Kanalsystem möglichst vollständig abfüllt, eine wichtige Voraussetzung für den sinnvollen Erhalt von toten Zähnen.
Die entscheidende Voraussetzung für eine wirkliche Ausheilung im Gebiet der Wurzelspitze und des umgebenden Knochens (Entzündung, Granulom), ist die relative Keimfreiheit in der gesamten Wurzel. Die Gefahr, dass sich auf Basis von Geweberesten eine chronische Entzündung und Beherdung eines Zahnes entwickelt ist umso geringer, je besser Aufbereitung, Säuberung und Abfüllung gelingen.
Aufgrund der komplexen Anatomie der Wurzelkanäle, die im Schlussdrittel wie ein Flussdelta (s. Abb.) verzweigen, ist dieses Ziel nur mit großem Aufwand zu erreichen.
Wurzelkanalsysteme in verschiedenen Zähnen
Maschinell betriebene Aufbereitungsinstrumente aus den modernsten Legierungen, die extrem flexibel sind und auch in gekrümmte Kanäle gelangen, sind dabei wichtigstes Hilfsmittel.
Elektronische Wurzelkanallängenbestimmung, ultraschallaktivierte Spülungen tragen zur vollständigen Säuberung der Kanäle bei.
Wurzelkanal-Aufbereitungsgerät mit integrierter Kanallagenbestimmung
All diese Arbeitsschritte erfolgen mit optischer Vergrößerung, z. T. sogar unter einem OP-Mikroskop, und großer Sorgfalt. Die unterschiedlichen zum Einsatz kommenden Techniken sind so komplex, dass eine Spezialisierung in diesem Bereich ausgesprochen sinnvoll ist, um sehr gute Resultate zu erzielen.
Fr. ZÄ Kemnitz hat neben anderen Fortbildungen in diesem Gebiet das sehr umfangreiche Endodontie Curriculum der DGFE (Deutsche Gesellschaft für Endodontie) abgelegt, um für unsere Patienten eine außerordentlich kompetente Ansprechpartnerin zu sein.
Behandlungsbeispiele von Patienten:
Tief zerstörter Zahn
Instrument im Wurzelkanal
Perfekte Wurzelfüllung
Eine Wurzelbehandlung in unserer modernen Zahnarztpraxis in Bielefeld erstreckt sich meist über mehrere Sitzungen und ist sehr zeitaufwändig. Ein Aufwand, der sich lohnt: bereits beherdete Zähne mit kleineren Entzündungen erhalten die Chance zur Regeneration und Ausheilung, unbeherdete „frische“ Zähne können so für den Organismus neutral bleiben. Ganzheitliche Belastungen werden vermieden.
Auf gut wurzelbehandelten, nicht belastenden Zähnen, kann man auch guten Gewissens eine hochwertige Versorgung verankern.
Fr. ZÄ Kemnitz hat neben anderen Fortbildungen in diesem Gebiet das sehr umfangreiche Endodontie Curriculum der DGFE (Deutsche Gesellschaft für Endodontie) abgelegt, um für unsere Patienten eine außerordentlich kompetente Ansprechpartnerin zu sein.
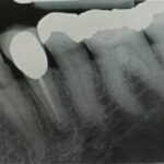
Zahn mit unvollständiger Wurzelfüllung und chronischer Entzündung an der Wurzelspitze
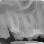
Nach medikamentösen Einlagen und vollständiger Wurzelfüllung – die Entzündung heilt ab
Aus ganzheitlicher/umweltzahnmedizinischer Sicht müssen Wurzelbehandlungen nicht grundsätzlich abgelehnt werden. Die Frage nach der möglichen Herdwirkung eines Zahnes kann über bioenergetische Testverfahren (s. Naturheilkunde) in der Praxis geklärt werden.
Ob bereits immunologische Reaktionen auf die bei jeder Wurzelbehandlung entstehenden Eiweißzerfallstoffe bestehen, kann ebenso und zusätzlich mit Hilfe der Labormedizin (sog. LTT-Blut-Test) diagnostiziert werden. Werden bei diesen Tests positive Befunde erhoben, kann unter Umständen eine Wurzelbehandlung nicht sinnvoll sein. Mehr zu diesem Thema unter „Naturheilkunde“ und in unserem Patientenratgeber „Ganzheitliche Zahnmedizin“).
Elektronische Wurzelkanallängenbestimmung, ultraschallaktivierte Spülungen tragen zur vollständigen Säuberung der Kanäle bei.
Die Phasen der Wurzelbehandlung bei uns in Bielefeld:
1. Karies erreicht die Nervhöhle, Nerv (Pulpa) stirbt ab, entzündliche Reaktion an der Wurzelspitze
2. Eröffnung der Pulpenkammer
3. Säuberung, Desinfektion und Aufbereitung des Kanalsystems
4. Füllung der Wurzelkanäle
5. Verschluss des Zuganges
6. Überkronung
Auf gut wurzelbehandelten, nicht belastenden Zähnen, kann man auch guten Gewissens eine hochwertige Versorgung verankern.
Fr. ZÄ Kemnitz hat neben anderen Fortbildungen in diesem Gebiet das sehr umfangreiche Endodontie Curriculum der DGFE (Deutsche Gesellschaft für Endodontie) abgelegt, um für unsere Patienten eine außerordentlich kompetente Ansprechpartnerin zu sein.
