Umweltzahnmedizin
Aus allen Bereichen der Umwelt gelangen auf verschiedenste Wege z. T. toxische oder auch unverträgliche Substanzen in den Organismus.
Toxische Belastungen, Unverträglichkeitsreaktionen und unspezifische Entzündungen können die Folge sein. Die damit einhergehenden Symptome sind so vielfältig und komplex, dass die entsprechende Einordnung der Zusammenhänge sehr schwerfällt.
Aus der Erfahrung mit vielen untersuchten Patienten, die zur Diagnostik ungeklärter Symptome überwiesen wurden, wissen wir, dass auch Zahnersatzmaterialien und Füllungswerkstoffe solche Reaktionen hervorrufen können.
Ebenso wichtig kann die sogenannte Herdwirkung der Zähne sein. Neben der energetischen Blockade und Fernwirkung (näher erläutert in unserem praxiseigenen Patientenratgeber über Umweltzahnmedizin) kann es zu toxischen Belastungen durch Eiweißzerfallsstoffe aus wurzelbehandelten Zähnen kommen.
Herdentstehung: unbehandelte Karies erreicht den Zahnnerv. Folge: Nerv stirbt ab, Einweißzerfallstoffe entstehen, entzündete Reaktion an der Wurzelspitze.
Ein weiterer wichtiger Störfaktor aus dem Zahn-Mund-Kieferbereich können sogenannte Restostitiden sein. Darunter versteht man meist klinisch stumme, lokal symptomfreie Entzündungen von Leerkieferbereichen, häufig als Langzeitfolge von Extraktionen entzündeter Zähne. Diese chronischen Entzündungen sind auf den zweidimensionalen Röntgenbildern kaum zu erkennen. Erst die dreidimensionale Bildgebung (DVT, CT) bringt hier diagnostische Klarheit.
Digitales 2-dimensionales Röntgenbild – Zahn mit Stift ohne Befund
3D-Röntgenbild (DVT) – deutliche sichtbarer ausgeprägter Entzündungsherd an der Wurzelspitze.
Die „silent inflammations“ werden heute als chronischer Stress des Immunsystems angesehen und können bei vielen chronischen Erkrankungen (rheumatische Formenkreis, Herz-Kreislauferkrankungen, Diabetes, uvm.) ursächlich mitwirken.
Hier ist eine neue zahnmedizinische Fachdisziplin entstanden, die Umweltzahnmedizin mit der Umweltzahntechnik, vergleichbar mit der Umweltmedizin in der Allgemeinmedizin.
Auswirkungen der verschiedenen Materialsparten und Toxine wurden mittlerweile umfangreich untersucht, Gefahren erkannt und katalogisiert.
Auch wurden neue Diagnoseverfahren entwickelt (z.B. spezielle Blut-, Urin- und Speicheltests zur Aufdeckung toxischer Belastungen, chronischer Entzündungen und Unverträglichkeiten).
Als eine von weniger als 10 Zahnarztpraxen in Deutschland ist unsere Zahnarztpraxis in Bielefeld von der Deutschen Gesellschaft für Umweltzahnmedizin DEGUZ in beiden Bereichen, also Umweltzahnmedizin und Umweltzahntechnik, zertifiziert worden.
Frau Zahnärztin Eickhoff hat die das Curriculum Umweltzahnmedizin absolviert.
Herr Zahnarzt Dr. Quast hat wiederum das Curriculum Umweltzahntechnik absolviert.
Die Umweltzahnmedizin wird aufgrund der vielen zunehmenden Einflüsse aus der Umwelt (5G, Pestizide, Mikroplastik, etc.) immer wichtiger, da chronisch Kranke in der Regel unter einem Summationseffekt ihrer vielfältigen Belastungen leiden.
Von Patienten in unserer Zahnarztpraxis häufig gestellte Fragen
Wie können Belastungen durch Zähne und verwendete Materialien festgestellt werden?
Schon beim präzisen Aufnehmen einer Krankengeschichte („Anamnese“) können erste Hinweise auf mögliche Ursachen aufgenommen werden. Es gibt mittlerweile sehr genaue labormedizinische Untersuchungen, die immunologische Reaktionen auf Fremdsubstanzen (Zahnersatz, Füllungen) oder körpereigene Stoffe (Eiweißzerfallstoffe, chronische Entzündungen) aufzeigen. Körperflüssigkeiten wie Urin, Speichel können z. B. auf Metallkonzentrationen untersucht werden. So können Belastungen auch quantitativ erfasst werden. Zusätzlich ist es möglich, die Auswirkungen auf den Organismus mit den sogenannten bioenergetischen Testverfahren (z. B. Kinesiologie, Elektroakupunktur; siehe für konkretere Informationen auch unseren praxiseigenen Patientenratgeber) zu überprüfen.
Können Metallbelastungen aus dem Körper entfernt werden?
Nach oder auch schon begleitend zu einer entsprechenden Metallsanierung beim Zahnarzt, können Metalle durch verschiedene Ausleitverfahren mobilisiert und ausgeschieden werden. Dies kann durch allopathische Medikamente (z. B. Komplexbildner wie DMSA, DMPS), aber auch durch Homöopathie, Bioresonanztherapie erfolgen. Begleitend werden immer Nahrungsergänzungsmittel verabreicht (z. B. Mineralien, Algen, Koriander u.v.m.). Das Trinken biologisch aktiven Wassers in Mengen von 1,5-2 Litern ist ebenfalls eine absolute Voraussetzung für einen Erfolg der Behandlung.
Gibt es ein immer verträgliches Zahnersatzmaterial?
Ein für alle Patienten immer geeignetes Material gibt es nicht. Individuelle Unverträglichkeiten, auch bei den hochwertigsten Materialien, können vorliegen und nur durch Tests erkannt werden. Es gibt jedoch Materialien, wie z. B. Zirkonium (Keramik) und PEEK (High-Tech-Kunststoff), bei denen Unverträglichkeiten extrem selten und fast auszuschließen sind.
Patientenfall, zahnloser Unterkiefer. Komplett metallfreie Lösung. Der Zirkonium-Steg auf 4 Implantaten garantiert einen absolut festen Sitz, Sicherheit und Kaukomfort.
4 Implantate im Kinnbereich
Ein Zirkoniumsteg zur Befestigung des Zahnersatzes
Steg auf dem Modell
Unterkiefertotalprothese auf PEEK-Gerüst
Prothese von unten
Patientenfall:
Sind Metalle grundsätzlich abzulehnen?
Amalgam und Palladiumlegierungen sicherlich. Andere Zahnersatzlegierungen haben jedoch häufig eine Berechtigung und sind durchaus für viele Patienten gut verträglich. Wenn Metalle zum Einsatz kommen, sollte nur eine Legierung eingesetzt werden, um erhöhte Korrosion zu vermeiden.
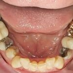
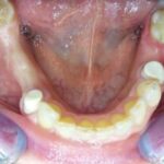
Verschiedene Metalle im Mund bilden galvanische Elemente und führen zur Korrosion
Raue Oberfläche, entstanden durch Korrosion!
Verschiedene Metalle im Mund. Hier Amalgam und eine Goldlegierung. Wie Sie nun wissen, sollten zwei unterschiedliche Metalle dringend vermieden werden.
Metalle unterliegen grundsätzlich der Korrosion (sie rosten), d. h. das Metallpartikel in den körpereigenen Organismus des Patienten gelangen und dort gespeichert werden können. Somit kann eine Erhöhung der toxischen Gesamtbelastung stattfinden
Verträgliche Metalle können in der Zukunft auch unverträglich werden, d.h., dass ein Materialtest immer nur eine Momentaufnahme ist. Bei Keramiken oder PEEK ist eine zukünftige Unverträglichkeit hingegen sehr unwahrscheinlich!
Sind alle toten Zähne Störfelder?
Nein – wie immer hängt es von der individuellen Leistungsfähigkeit des Immunsystems und den Kapazitäten der Toxinspeicher ab. Die alte Einstellung der Herdtheorie der 70er Jahre – jeder tote Zahn muss raus – ist überholt.
Eine Störfeldwirkung ist heutzutage überprüfbar! Nur bei chronisch schwer erkrankten Patienten wird grundsätzlich vom Erhalt toter Zähne abgeraten. Es gibt Patienten mit röntgenologisch nachgewiesenen beherdeten Zähnen, die damit überhaupt kein Problem haben. Auch können tote Zähne so umfassend mit modernen Wurzelkanalbehandlungen (siehe auch Wurzelkanalbehandlung) therapiert werden, sodass sowohl eine toxische als auch eine Störfeldwirkung sehr unwahrscheinlich ist.
Merke: Nicht jeder tote Zahn muss gezogen werden! Häufig hängt vom Erhalt auch der Fortbestand von einem Zahnersatz ab.
Aber so ähnlich wie bei den Metallen gilt: Unauffällig im Test heißt, wir sprechen lediglich über eine „Momentaufnahme“! Ob sich ein perfekt wurzelbehandelter Zahn in der Zukunft als Problem entpuppt, ist nicht vorhersagbar. Diese Information sollten Patienten im Hinterkopf behalten.
