Zahnimplantate und -prothetik
Zertifikat
Zertifikat
Die dentale Implantologie war sicherlich eine der wichtigsten Entwicklungen der letzten Jahrzehnte in der Zahnmedizin. Dr. Andreas Quast hat über 25 Jahre Erfahrung in dieser Disziplin. Seine ersten Implantate hat er bereits 1994 in Bielefeld gesetzt, über 2.000 versorgte Zahnimplantate folgten.
Dr. Andreas Quast war bereits 1993 Mitglied in der wichtigsten internationalen implatologischen Gesellschaft und ist Absolvent des Schwerpunkt-Curriculums „Implantatprothetik“ der deutschen Gesellschaft für zahnärztliche Implantologie (Zahnimplantate und Implantat-Versorgung).
In den letzten Jahren sind die Verfahren des Knochenaufbaus immer weiter verfeinert worden, Zahnimplantate in Bielefeld (in unserer Praxis) sind heute fast in jedem Fall eine mögliche Option, nicht nur in Bielefeld.
In den letzten Jahren sind die Verfahren des Knochenaufbaus immer weiter verfeinert worden, Zahnimplantate in Bielefeld sind heute fast in jedem Fall eine mögliche Option. Um eine möglichst hohe Behandlungssicherheit für Patienten zu gewährleisten, erfolgt die Versorgung in diesen Fällen in der Regel im Teamwork mit einer spezialisierten kieferchirurgischen Praxis.
Unsere spezielle Implantatsprechstunde
Dr. Quast hat mittlerweile über 25 Jahre Erfahrung in der Implantologie in Bielefeld; in seiner eigenen Praxis. In den letzten Jahren hat sich die Zusammenarbeit mit der Praxis des Kieferchirurgen Dr. Grube aus Bielefeld intensiviert und derart gut bewährt, dass gemeinsam mit Dr. Grube eine Implantatsprechstunde eingerichtet wurde.
Bei dieser Sprechstunde sind Ihr gewünschter Behandler Dr. Andreas Quast, Zahnärztin Eickhoff oder Zahnärztin Kemnitz und Dr. Grube gemeinsam für Sie da, um Sie sowohl über den chirurgischen als auch den prothetischen Teil Ihrer anstehenden Implantat-Versorgung bzw. Zahnimplantate in Bielefeld ausführlich und in Ruhe zu beraten.
Ihre Fragen bzgl. Werkstoffen, Verträglichkeit, Prognosen, Risiken etc. können bei dieser Gelegenheit selbstverständlich mit allen Behandlern erörtert werden.
Die Basis der Diagnostik und der Planung Ihrer Versorgungsmöglichkeiten, bildet modernste, digitale 3D-Röntgentechnik (DVT = digitale Volumentomographie; ähnlich CT-Technik), mittels der die zur Verfügung stehende Implantatbasis präzise vermessen wird. Der Umfang des Eingriffes lässt sich so vorab zuverlässig abschätzen. Diese Diagnostik bildet die Grundlage für die von der Praxis Dr. Grube und von unserer Praxis zu erstellenden Kostenvoranschlägen.
Der chirurgische Part Ihrer Versorgung wird dann von der Praxis Dr. Grube übernommen, den Zahnersatz auf den Implantaten erstellen wir. Diese Aufteilung wurde im Sinne der Patienten gewählt, um die bestmögliche Versorgung zu gewährleisten. Herr Dr. Grube verfügt über eine immense Erfahrung in der Implantologie in Bielefeld und allen notwendigen Knochenaufbaumaßnahmen (+5.000 gesetzte Zahnimplantate Bielefeld) und arbeitet ausgesprochen schonend und konservierend.
Die langjährige implantologisch-chirurgische Erfahrung von Dr. Quast und die Spezialisierung auf die Implantatprothetik garantieren Ihnen Planung und Umsetzung eines hochwertigen funktionellen und ästhetischen implantatgestützten Zahnersatzes.
So werden die jeweiligen Spezialisierungen bestmöglich eingebracht, um einen hohen Synergieffekt zu Ihrem Wohle sicherzustellen.
Das Prinzip : Das Implantat ersetzt die Wurzel eines Zahnes,
der Zahnersatz wird über einen Pfosten im Implantat verankert
Patientenfälle: Zahnimplantate in Bielefeld + Prothetik
Auf Druckknöpfen gestützte Oberkiefer-Totalprothese, dadurch fester Sitz, kleinere Gaumenauflage
Auf Druckknöpfen gestützte Oberkiefer-Totalprothese, dadurch fester Sitz, kleinere Gaumenauflage
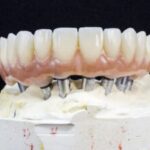
Implantat-Konstruktion im Oberkiefer mit bedingt abnehmbarer Brücke
Alte Versorgungen lassen sich auch häufig ohne neue Implantate verbessern :
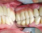
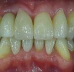
Vorher: Alte Implantat-Krone kleinerer Schneidezahn ; nicht ansprechende Ästhetik Frontzähne
Nachher
Implantologie in Bielefeld bzw. Implantatprothetik:
Hier ein Patientenfall, den wir als zahnmedizinische Vorreiter bereits 2006 mit gefrästen Keramikteleskopen auf Zahnimplantaten in Bielefeld sowie Zähnen in unserer Zahnarztpraxis versorgt haben. Die Versorgung ist bis heute immer noch vollkommen einwandfrei im Einsatz.
Ausgangssituation: Oberkiefer Restzahnbestand ergänzt um Implantate. Planung: herausnehmbare Brücke auf gefrästen Keramikteleskopen
Ausgangssituation: Oberkiefer Restzahnbestand ergänzt um Implantate. Planung: herausnehmbare Brücke auf gefrästen Keramikteleskopen
Eingesetzte Teleskope (als Anker für die Zahnimplantate)
Implantat-Pfosten auf dem Modell
Nur die bewährtesten Implantat-Systeme der namhaftesten Firmen kommen in unserer Zahnarztpraxis in Bielefeld zum Einsatz. Auch werden, aus Sicht der Umweltzahnmedizin, immer mehr Keramik-Implantate gesetzt. Das ist mehr als begrüßenswert.
So ist auch in komplexen Fällen heutzutage häufig eine vollständig metallfreie Versorgung mit Zahnimplantaten bei uns in Bielefeld möglich.
Keramikimplantate sind häufig einteilig , d.h. „Wurzel“ und Pfosten aus einem Stück
Hier eine vollständig metallfreie Versorgung eines zahnlosen Unterkiefers. Zirkoniumsteg auf 4 Implantaten, metallfreie PEEK-Prothese
Steg auf Modell
Prothese auf Modell
Prothese von unten
Steg im Mund
Prothese im Mund
Vereinbaren Sie gerne einen ersten Termin dazu in unserer Zahnarztpraxis.
Unser Spezialisierter Behandler freut sich auf Sie!
